VSA Cancer Care – Advanced cancer treatment for cats and dogs, chemotherapy, electrochemotherapy, radiation therapy and surgery – Veterinary Specialists Aotearoa | Veterinary Specialist and Animal Referral Services in NZ with 3 specialist animal hospitals in Auckland and Christchurch

Cancer Care at VSA

ADVANCED CANCER CARE FOR YOUR PETS

A multi-disciplinary approach to cancer treatment

At VSA, our main goal is to preserve, lengthen, and improve the quality of life for our patients that have been diagnosed with cancer.

We offer a wide variety of treatment options including surgery, chemotherapy and electrochemotherapy, that are customised to meet the needs and goals of the individual patient and their family.  

Here at VSA, we are fortunate enough to be able to offer our patients a multi-disciplinary approach to cancer treatment. This means that whatever the treatment plan, we are able to utilise the skills of our team of specialists and nursing staff to get the best outcome for your pet. 

We understand that a cancer diagnosis can be devastating, creating lots of questions and leading to some difficult decisions. Our experienced team will help to guide you through the various stages of diagnosis, surgery and ongoing treatment, enabling you to make the best decisions for your family. 

christchurch alastair dog consult

Some of the cancers that we see are: 

  • Soft Tissue Cancer 
  • Abdominal Tumours- Liver, Spleen, Adrenal
  • Lymphoma
  • Brain Tumours
  • Head/ Skull Tumours- nasal and oral 
  • Bone Cancers- Osteosarcoma
  • Skin Cancers- Squamous Cell Carcinoma, Mast Cell Tumours,  Melanoma 
  • Benign tumours- lipomas, sebaceous cysts, papillomas, histiocytomas 

What does VSA Cancer Care offer?

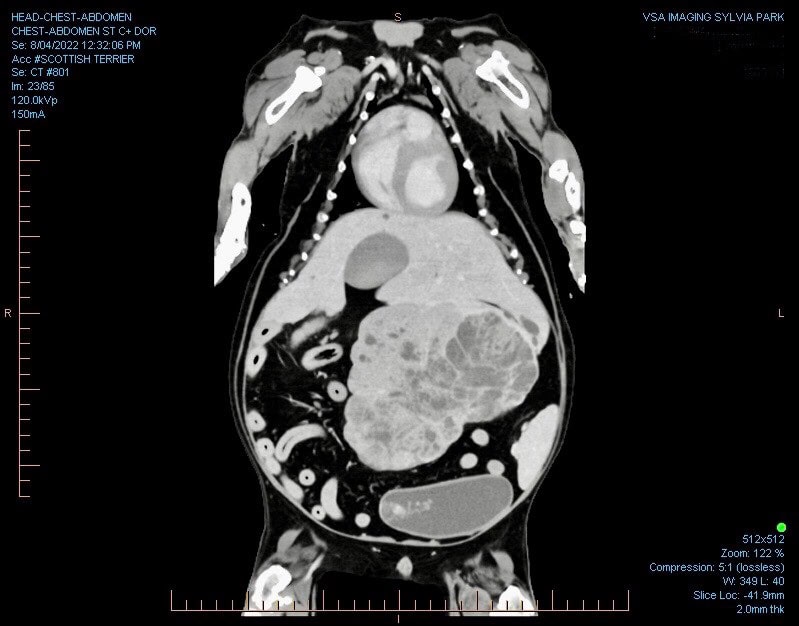
Diagnostic Imaging

Diagnostic Imaging plays an important part in showing us the size of a tumour, where it is and what other areas are involved.

Generally your pet will need at least one form of diagnostic imaging before a treatment plan is discussed.  At VSA we are able to offer Ultrasounds, X-rays, CT Scans and MRIs. 

[WEB] VSA Sylvia Park (119 of 144)-min2

Diagnostics

Most of the time we will need to run additional diagnostics to make sure we have as much information as possible. We will use this information to determine the best treatment plan for your pet. Some of these extra diagnostics include, blood tests, biopsies and FNA’s, fine needle aspiration.

All blood and tissue samples are assessed by veterinary pathologists at the laboratory.  

VSA Cancer Care - Surgery

Surgery

Surgery is often an important part in many of our VSA Cancer Care patient’s journey. 

Not only is surgery used to remove tumours, but in some cases it is also used to take biopsies of specific tissue that is difficult to reach any other way.

Chemo hood oncology cancer

Chemotherapy

Chemotherapy is the treatment of cancer using drugs which target cancer cells. At VSA we either administer drugs orally, intravenously (into the vein via a catheter) or subcutaneously (an injection under the skin).

Because every cancer is different, treatment plans and chemotherapy drugs vary between patients. 

Radiation marker

Radiation Therapy

Radiation therapy is a form of cancer treatment that is most helpful for tumors with a low rate of metastasis (spread to other organs) that are confined to one area of the body.

Our VSA Cancer Care team work closely with a Veterinary Radiation Oncologist to construct the radiation treatment plan for your pet. 

Aneta and Poppy

Recovery

Our dedicated and compassionate nursing team work hard to provide your pet with the highest quality of care.

Whether they are recovering from surgery, being admitted for a diagnostic work-up or having a chemo treatment our nursing team is there every step of the way for your pet. 

Diagnostic Imaging

The most important thing we can do with any VSA Cancer Care patient is to work up a treatment plan that individually suits them and their family.  To do this we need to have an accurate diagnosis and an understanding of the degree in which the cancer has progressed or spread.

This is where our Imaging Department comes in. During your pet’s initial consult with one of our specialist surgeons or internal medicine specialists they may recommend the need to do further imaging such as an ultrasound, CT or MRI even if you pet has already had radiographs or an ultrasound at your general practice clinic.

This form of imaging is known as “staging”. Staging helps us determine the size of a tumour and whether the cancer has spread to other parts of the body, known as metastases.  

Our radiologists are experts in the interpretation of all imaging modalities, from X-rays, ultrasounds, CT and MRI. They are also able to safely obtain tissue samples by FNA and biopsies with either ultrasound or CT guidance.

Surgery

Depending on the type and location of your pet’s cancer/tumour, surgical intervention may be recommended to provide patients with an improved quality of life.

Different types of oncologic surgery include

Diagnostic– This is where surgery is used to remove tissue for a biopsy. The tissue is then sent to the laboratory where veterinary pathologists are able to give our team an accurate diagnosis on the type of cancer we are dealing with.

Curative– This is where the surgeon’s intent is to remove cancerous tissue or tumours with wide margins, with no cancer left behind. In many cases these patients would then be internally referred for chemotherapy.

Cytoreductive– This is when we know we can’t completely remove a tumour. The goal with cytoreduction is to “debulk” a tumour enough to decrease the burden of the tumour on the patient’s body. This also helps to enhance the response to additional chemotherapy or radiation treatments. 

Palliative–  In some cases of cancer we cannot provide a cure. However, there are surgical procedures that can be used to improve the quality of life for some patients.

surgery christchurch alastair

Chemotherapy

Animal Chemotherapy is similar to human therapy, but the drugs are used at a lower dosage rate which results in reduced side effects. Chemotherapy typically follows diagnostic and/or surgical processes in your animals’ Cancer Care journey. Depending on the chemotherapy drug, these can be given via injection (IV) or orally. Most pets receiving chemotherapy are treated on an outpatient basis. The length of their appointment may vary depending on the chemotherapy protocol prescribed, but most pets only need to stay in hospital for less than 2 hours. 

The length of time and frequency of the treatment for your pet will depend on many factors, including the type of cancer being treated and how well the treatment is tolerated by the patient. Treatment may be weekly or monthly. There may also be rest periods where no treatment is given, allowing the animal time to build healthy new cells. 

Your pet will receive an individualised chemotherapy plan which is formulated to achieve the best outcomes for your pet but avoid adverse effects as far as practical.

Radiation Therapy

Radiation Therapy is a cancer treatment that uses high doses of radiation to kill cancer cells and shrink tumours by damaging their DNA.

Types of Radiation Therapy:
• Radiotherapy can be used for multiple different purposes depending on the tumour type.

Side Effects of Radiation Therapy:
• Side effects of treatment include inflammation at the radiotherapy site which often fully resolve within a few weeks of treatment. Other side effects depend on the location and the dose of radiotherapy given.
• Most pets will have hair loss at the time of treatments and permanent change in hair coat colour confined to the radiation field after treatment.

When is Radiation Therapy Recommended:
· Radiotherapy can be part of a cancer treatment plan either as a stand alone treatment for some types of tumours (e.g. nasal tumours) to try shrink the tumour, as a follow up treatment after surgery (e.g. after incomplete margins) to try and reduce the risk of recurrence, or can be used for purely palliative purposes to provide pain relief and maintain quality of life (e.g. bone tumours).
· In the minority of cases, chemotherapy may be advised after radiotherapy has been completed for cancers with high risk of spreading.

How to make an appointment for pet cancer treatment?

If your pet has had a cancer diagnosis, or you are concerned about their health, the first port of call is always with your local vet.

We work with veterinary clinics around New Zealand to provide specialist care, and our VSA Cancer Care service is part of this. Our cancer care patients all start with a referral from their local vet which you can request by talking to them. 

If you would like more info, or help getting referred, please contact us below.

Scroll to Top